Periodontology

Periodontology
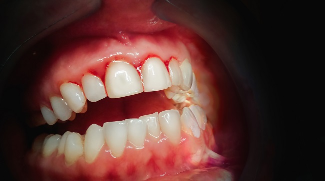
Gum inflammation, gingivitis, is manifested with tender gums and slight bleeding while brushing. The infection is caused by bacteria found in plaque and calculus deposits on teeth. If the infection is not controlled it progresses into a more server form, periodontitis, which has more severe symptoms such as painful red gums, gums that bleed, bad breath, loose teeth which eventually lead to tooth loss. With a proper diagnosis, individual approach to treating gingivitis and periodontitis, as well as patient education, the inflammation and disease can be controlled and your teeth can be preserved for a longer time.
Our services:
- Genetic and microbiological testing for periodontal disease
- Initial periodontal treatment
- Treatment and maintenance plan
- Photodynamic treatment of periodontal disease
- Periodontal surgery
- Plan for maintaining achieved results, patient education and home care advice.
HELBO PHOTODYNAMIC THERAPY FOR TREATING PERIODONTAL DISEASE
Photodynamic therapy is an alternative method for treating periodontal disease. It works in such a way that a photosensitive fluid is applied into the periodontal area which is activated using a light source of a specific wave length, destroying pathogenic bacteria and bacteria infected cells which cause periodontal disease. As in classic treatment methods, regular recalls and professional cleanings are important in order to maintain the achieved results.